16 surgeries

We love to celebrate the healing power of God!
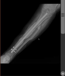
Bethany arrived at SCH with tibia and fibula fractures from a road traffic accident.
After 16 surgeries and 2 months in the hospital, she is now pain free and able to walk without a limp most days!

